Thứ Năm. 29/01/2026

(Dân trí) – Sau khi vào một cơ sở tư nhân hút mỡ thành bụng, người phụ nữ 57 tuổi có bệnh nền béo phì và tăng huyết áp lâm vào biến chứng suy hô hấp, sốc nhiễm khuẩn, tổn thương đa cơ quan nguy kịch.

Tại Hội nghị khoa học Thẩm mỹ thường niên vừa diễn ra ở TPHCM, BSCKII Hồ Ngọc Phát, Trưởng khoa Hồi sức tích cực Ngoại (ICU), Bệnh viện Quân y 175 (Bộ Quốc phòng) đã báo cáo về một ca thủng ruột nặng sau phẫu thuật thẩm mỹ.

Bệnh nhân là người phụ nữ 57 tuổi, có tiền sử đái tháo đường kiểm soát kém, tăng huyết áp, béo phì độ 1 và đã cắt tử cung 10 năm trước (có sẹo thành bụng). Cách nhập viện vài ngày, bệnh nhân đi hút mỡ và tạo hình thành bụng tại một cơ sở y tế tư nhân, sau đó gặp các biến chứng nặng phải chuyển viện cấp cứu.

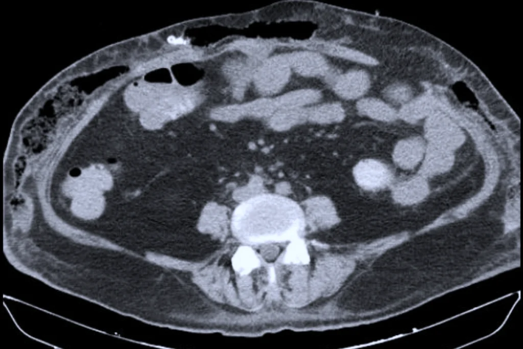
Khi vào Bệnh viện Quân y 175, bệnh nhân trong tình trạng suy hô hấp, sốc nhiễm khuẩn, tổn thương đa cơ quan, da vùng bụng phù nề lớn, có các điểm biến đổi màu sắc và đau nhiều. Ảnh chụp CT ổ bụng cho thấy có tụ dịch, tràn khí dưới da phần mềm thành bụng 2 bên và thoát vị thành bụng.

 Hình ảnh CT ổ bụng của bệnh nhân (Ảnh: Bác sĩ cung cấp.)

Bệnh nhân được chẩn đoán nhiễm khuẩn, nhiễm trùng thành bụng, biến chứng tổn thương đa cơ quan sau phẫu thuật hút mỡ bụng ngày thứ 5. Ê-kíp điều trị đã tiến hành hồi sức đảm bảo hô hấp và tuần hoàn, phẫu thuật cấp cứu thám sát và xử trí tổn thương cho người phụ nữ.

Sau phẫu thuật, bệnh nhân được chuyển về khoa Hồi sức Ngoại lọc máu liên tục (CRRT) và điều trị tích cực hơn một tuần, nhưng tình trạng tổn thương đa cơ quan không cải thiện, xuất hiện bụng chướng nhiều hơn và có dịch thành bụng lợn cợn.

Lúc này, Bệnh viện Quân y 175 tiến hành hội chẩn các chuyên khoa, cũng như tham vấn chuyên gia từ cơ sở tuyến cuối khác, đi đến nhận định người phụ nữ bị thủng bít ruột non, rò qua thành bụng.

Đến ngày 20 hậu phẫu, bệnh nhân xuất hiện dịch ruột và suy kiệt nặng, nhiễm trùng vi khuẩn đa kháng tại chỗ, viêm phổi, nhiễm nấm, suy gan, xuất huyết tiêu hóa và xuất huyết thành bụng, bệnh thận cấp…, phải điều trị bằng hàng loạt kỹ thuật chuyên sâu.

Bằng các nỗ lực không ngừng nghỉ của các y bác sĩ, sau 56 ngày can thiệp, bệnh nhân được ra khỏi khoa ICU và có thêm 25 ngày điều trị tại khoa Bỏng – Tạo hình (tổng cộng 81 ngày nằm viện).

Các bác sĩ tiến hành phẫu thuật xử trí cho bệnh nhân bị biến chứng nặng sau hút mỡ (Ảnh: Bác sĩ cung cấp).

Theo bác sĩ Phát, cannula (ống thông) khi thực hiện phẫu thuật là nguyên nhân gây thủng thành bụng và tạng. Ở người có sẹo mổ, thành bụng yếu nên ống thông dễ xuyên qua phúc mạc.

Bên cạnh đó, người béo phì (chỉ số BMI cao) sẽ có lớp mỡ dày, nên khi can thiệp cần thao tác mạnh, gây tăng nguy cơ đi lệch của ống thông, dù không phải mọi chấn thương đều gây thủng hoàn toàn. Một số trường hợp có thể xảy ra muộn.

Các thủng tạng cũng thường biểu hiện với triệu chứng lâm sàng kín đáo và diễn tiến âm thầm, nên hay bị chẩn đoán nhầm là viêm mô tế bào sau hút mỡ.

Ngoài ra, ảnh CT không phải lúc nào thấy rõ lỗ thủng. Nguy cơ xảy ra biến chứng này còn phụ thuộc vào mức độ cảnh giác của phẫu thuật viên và điều kiện cơ sở thẩm mỹ.

Bác sĩ Phát nhận định, thủng ruột và nhiễm trùng mô mềm hoại tử sau thủng ruột dù hiếm gặp nhưng nguy cơ tử vong cao, có thể khiến bệnh nhân rơi vào sốc nhiễm khuẩn và suy đa cơ quan.

Do đó, người dân không nên xem hút mỡ là thủ thuật “an toàn tuyệt đối”, còn nhân viên y tế phải sàng lọc kỹ bệnh nhân có nguy cơ cao (đái tháo đường, béo phì, sẹo mổ cũ) để cân nhắc việc thực hiện.

“Bất kỳ trường hợp hút mỡ nào đau tăng nhanh, màu da thay đổi phải chuyển viện xử trí  sớm. Cơ sở thẩm mỹ phải có quy trình cấp cứu, chuyển viện, theo dõi sau mổ, còn người thực hiện cần hiểu giải phẫu và giới hạn thao tác của cannula”, bác sĩ nhấn mạnh.

Trao đổi với phóng viên Dân trí, một bác sĩ có nhiều năm hành nghề lĩnh vực thẩm mỹ ở TPHCM cho biết, có thể hiểu đơn giản việc hút mỡ là lấy mô mỡ ra ngoài cơ thể bằng tay hoặc máy hút, sau khi bơm dung dịch nước vào.

Trong các biến chứng có thể xảy ra, luôn có một tỷ lệ nguy cơ xảy ra thuyên tắc mỡ, dù hút mỡ bụng hay vùng đùi, tay chân. Bác sĩ phân tích, về nguyên tắc, chất béo thường không di chuyển trong máu, tuy nhiên có thể đi vào hệ tuần hoàn sau một phẫu thuật hoặc chấn thương.

Quá trình hút mỡ gây tổn thương thành mạch. Mỡ đi vào trong lòng mạch và di chuyển đến đoạn hẹp gây thuyên tắc. Thuyên tắc mỡ có thể gây thuyên tắc phổi. Nếu thuyên tắc động mạch phổi, bệnh nhân sẽ nguy hiểm đến tính mạng.

Chuyên gia thẩm mỹ phân tích, kinh nghiệm, kỹ năng thực hiện và đánh giá từng trường hợp, từng vị trí cơ thể và lượng mỡ cần hút là điều cần thiết để đảm bảo an toàn cho bệnh nhân. Các chỉ định cần phải làm là siêu âm bụng (xem có bị thoát vị thành bụng hay không), xét nghiệm Beta HCG (để chẩn đoán xem bệnh nhân đang có thai hay không).

Bệnh nhân cũng cần được tư vấn kỹ những nguy cơ có thể xảy ra với bản thân trước khi thực hiện.

(*) Nguồn: https://dantri.com.vn/suc-khoe/nguoi-phu-nu-thung-ruot-nguy-kich-sau-hut-mo-81-ngay-chong-choi-tu-than-20251208144632230.htm

error: